![]() |
![]() |
![]() |
30.12.2015 Was du heute kannst besorgen... ...das verschiebe nicht auf Morgen. Cinco und Fame wurden ein weiteres Mal ophthalmologisch untersucht und sind weiterhin frei von Augenerkrankungen. Alles tip-top!
|
|
27.12.2015 Wer hätte das gedacht?- Sportnews noch zwischen den Jahren Franka Neufert und ihre Nike (SS Just Do It) sind doch immer für eine Überraschung gut. Am zweiten Weihnachtstag tummelten sie sich beim Rally-Obedienceturnier in Gotha unter dem Motto: "weg vom Herd". Weihnachtliche Verkleidung war erwünscht, und wie Franka das umgesetzt hat sieht man wunderbar auf dem Foto. :-) Happy Birthday- mein zweiter Wurf wird zweistellig Meine B-linge haben heute Geburtstag und werden zehn Jahre alt. Alle sind weiterhin top-fit. Herzlichen Glückwunsch an: Ronja, Abby, Fine, Gwynn, Barani, Scotty, Matisse und Loulou. Heute Abend werden wir wieder euren Geburtstag gemeinsam feiern!
|
|
09.12.2015 Klitzekleine Naturgewalten- ein erster Blick auf die N-iños So ist das also bei Wurf Nummer 13, ich bin immer noch nicht viel geduldiger als beim ersten Wurf damals. Also habe ich den Ultraschall nochmal zwei Tage vorgezogen und bin nun froh, dass ich verkünden kann, dass wir den N-Wurf freudig erwarten können. Ca 3-4 kleine N-Zwerge haben wir gesehen, und so rechne ich mit einem durchschnittlich großen Wurf Mini Springer Mitte Januar.
|
|
02.12.2015 Nä, nä, nä... ...ich kann es nicht fassen, die I-nsider werden Heute schon vier Jahre alt. Der erste Wurf nach Cinco, der erste und einzige Wurf aus Amber hat heute Geburtstag. |
|
24.11.2015 Großer Bruder, kleine Schwester Am vergangenen Sonntag fand die SRA Iserlohn statt. Zwei Debüts waren dort zu verzeichnen: SS Kickstart (Miles- Foto) wurde zum ersten Mal in der offenen Klasse gezeigt, die er mit V1 VDH CAC gewann, und SS Midnight Sun (May) wurde überhaupt zum ersten Mal gezeigt in der Jüngsten Klasse. Sie erhielt vv1. Beide sind Cinco-Kinder. Gerichtet hat M. Armstrong (GB) Wir freuen uns mit Monika Morlak (Miles) und Nina Kerkhof (May)!
|
|
16.11.2015 Kalenderprojekt Das Springer Forum hat auch für das nächste Jahr wieder einen schönen Kalender zusammengestellt. Der Kalender hat A4-Größe und kostet 8 € zuzüglich Porto. Der Überschuß aus dem Kalenderverkauf geht wie gewohnt an die Krambambuli Jagdhundhilfe. Weihnachtswunsch Eigentlich hat man ja alles was man braucht, aber ich habe dieses Jahr einen besonderen Weihnachtswunsch: ich wünsche mir Fotos von meinen (ehemaligen) Welpen von denen ich lange nichts mehr gesehen habe. Bitte nehmt euch doch mal die Zeit und setzt euren Sporty ins rechte Licht vor eine Kamera. Fotos bitte per e-mail an mich. Weihnachtsessen Wie auch in den vergangenen Jahren möchten wir den Jahresausklang mit euch feiern. In der Gaststätte Ziegler (Schloßstr 7a in 59510 Lippetal) treffen wir uns am B-Wurf Geburtstag 27.12. ab 19.00 Uhr. Um Voranmeldung bei mir bis zum 15.12. per e-mail wird gebeten.
|
|
12.11.2015 die Sache mit den Blümchen und den Bienchen ...funktioniert zwar bei Hunden ein wenig anders, aber sowohl Dallas als auch Lara wußten noch wie´s geht. So war die Autofahrt auch deutlich länger als der Zweck der Reise dauerte. Einen ausführlichen Bericht wird es Morgen im Welpentagebuch geben. Wir hoffen auf unsere N-iños Mitte Januar!
|
|
10.11.2015 Volle Punktzahl für Laurin Am vergangenen Samstag starteten Birgit Funk und ihr SS Fireworx by Laurin erstmalig bei einem Rally Obedience Turnier in der gut gefüllten Beginner Klasse. Birgit und ihr Laurin bekamen 100 von 100 erreichbaren Punkten und mit der schnellsten Laufzeit kamen sie auf den 1. Platz von 34 Startern. Dies ist selbstverständlich ein Qualifikationsergebnis für die nächsthöhere Klasse. Das Turnier fand statt beim HSV Kückhoven und gerichtet hat Conny Hupka.
|
|
27.10.2015 Saisonabschluß für uns Am vergangenen Sonntag startete mein Team zum letzten Mal in diesem Jahr bei einer Obedienceprüfung, und wir sind mehr als zufrieden mit dem Ergebnis, allerdings bleibt ein "hätte ich doch" über. Cinco kam mit einer Null (hätte ich doch bloß das Apportel nicht so dämlich an der Hürde vorbei geworfen) auf 244,5 Punkte und Platz 2 im Starterfeld von acht Teams. Fame (Foto von der Prüfung in Menden vor 14 Tagen) holte einen Punkt weniger ohne Null und landete auf Platz 3. Die Prüfung war wie gewohnt super organisiert vom AHC Beckum und gerichtet hat Silke Heemann.
|
|
20.10.2015 Einer für alles: Houdini Sandra Kreibich und ihr SS Houdinis Lightning haben am vergangenen Sonntag Geschichte geschrieben für meinen Kennel. Houdini ist der erste Springer aus meiner Zucht der eine jagdliche Prüfung im JSpK abgelegt hat. Mit einem 2a Preis (analog Sehr Gut) in der Herbstprüfung sind wir mehr als zufrieden, vor allem weil die Hundeführerin überaus nervös war bei der Prüfung. Auch 20 Jahre Hundesportprüfungen bereiten nicht auf eine jagdliche Prüfung vor ;-) Die Prüfung fand statt bei der Landesgruppe Hessen Mainfranken Pfalz und zwei der drei Prüflinge konnten bestehen. Zwei von Houdinis Töchtern aus seinem ersten Wurf sind ihm übrigens zuvor gekommen. Sie legten die JZP im JSpK bereits vor 14 Tagen erfolgreich ab. Foto T. Maar
|
|
27.09.2015 auf neuen Wegen -Laras Debüt Gestern betraten wir neue Wege beim Rally Obedienceturnier der Hundefreunde Lippstadt. Nach nur acht Wochen Trainingszeit wollte ich Lara in ihrer ersten Hundesportprüfung zeigen und sie arbeitete sehr schön, erreichte 74 Punkte und ein gut. Von meinen alten Hasen konnte ich schon einiges mehr erwarten. Fame bekam 91 Punkte Vorzüglich und Aufstiegsquali, Cinco wurde Erster, im 24 Teams starken Starterfeld, mit 97 Punkten ebenfalls Vorzüglich mit Aufstiegsquali. Gerichtet hat M. Brzoska. Nochmal Rally -Obedience Auch Sandra Kreibich und ihre Springer waren im Rally aktiv gestern. Beim HSV Ahrensfelde gewann SS Houdinis Lightning die Klasse 2 mit 75 Punkten und SS Crazy Blizz kam in Klasse 3 auf Platz 2 mit 64 Punkten. Richterin war A. Schröder. Na, das ist mal ne Leistung- Kiwi im Agility Ralf Scheuermann und SS Cashmere Kiwi (Foto unten) siegten gestern sowohl im A2-Lauf als auch im Jumping 2 jeweils fehlerfrei. Gerichtet hat Elke Kraul und das Turnier fand statt beim PHV Hannover. Nochmal Agility- Monet Ulrike Simon und ihr SS Jam with Moses starteten dann heute in der Schweiz beim Agilityturnier. Im Jumping kamen sie auf den zweiten Rang.
|
|
22.09.2015 Houdini at his best SS Houdinis Lightning und Sandra Kreibich repräsentierten die Sporties beim Workingtest "am Moor" der Jagdspaniel Klub Landesgruppe Nordmark am vergangenen Freitag. Das Team hatte am Ende des Tages einige Dummys in der Tasche und erreichte 64 Punkte und Platz 3 in der Novice-Klasse. Gerichtet hat Cordula Wellmann. Das Foto von Houdini mit Dummy stammt aus der Kamera der Baamar Tierfotografie. Wenn eine Prüfung am Freitag stattfindet ist das Wochenende ja noch lang genug für Rückfahrt und eine weitere Prüfung. So switchten Houdini und Sandra am Sonntag in den Obedience-Beginner-Ring des HSV Lübbenau wo John van Hemert die Teams richtete. Houdini erarbeitete sich ein SG mit 206,5 Punkten und den zweiten Platz in der Beginner Klasse.
|
|
13.09.2015 Premiere Der Kennel Sporty Springers hat mit SS Katnis (Katja- Foto) seinen allerersten Viltspor Champion (Schweißfährten Champion in Norwegen- NVCH). Katja ist gerade erst zwei Jahre jung und hat am Samstag den Titel errungen. Ihr Besitzer Helge Growe ist erfahrener Hundeausbilder diverser Rassen, nun schwört er auf Springer Spaniels. Abstinenzler Ebenfalls am Samstag startete ein Team im Obedience von dem wir schon lange nichts mehr hörten: Monika Morlak und SS Fraser (Jamie). Sie erliefen sich 226,5 Punkte SG in der Königsklasse OIII bei der HSG Kaarst unter LR Sabine Richarz. Dafür sprang der zweite Platz von sieben Startern heraus! Unvergessen Der Geburtstag des K-Wurfes am 9.9. wurde nicht vergessen sondern verhindert ;-) Alles Gute nachträglich an Katja, Kamie, Kayo, Silas, Kayden, Django, Miles und Kiro. N-iños in Planung Als bestes Mittel gegen die Winterdepression planen wir den N-Wurf. :-) Infos HIER.
|
|
07.09.2015 Schön Am vergangenen Wochenende war unsere Crew unterwegs zum "Schönsein". Anlass war die Zuchttauglichkeitsüberprüfung von Lara auf der BZS Neuwied. Und da am nächsten Tag auf dem selben Gelände die SRA stattfand schlugen wir drei Fliegen mit einer Klappe: ZTB, Monika und Jungs treffen sowie Ausstellung. Auf der SRA zeigten wir dann gleich vier Hunde. Cinco gewann die Championklasse und erhielt das Rüden CAC, Lara bekam in der Championklasse V3, Fame erhielt in der offenen das V1 mit VDH CAC und später das Res Klub-CAC. Sporty Springers Kickstart (Miles- Foto Mitte) erhielt in der Zwischenklasse das V1 mit VDH CAC und später hinter Cinco das Res Klub-CAC. Schnell Auf dem unteren Bild sehen wir erneut SS Jam with Moses (Monet) und seine Besitzerin Ulrike Simon. Sie starteten am Samstag beim Agilityturnier des Dressurveines Basel. Mit 3-2-1 läßt sich der Tag ganz gut beschreiben: Platz 3 im Jumping, Platz 2 im Open und Platz 1 im A-lauf brachten sie mit Heim. Gerichtet hat Edwin Liechti
|
![]() |
29.08.2015 Monet hüpft weiter SS Jam wit Moses (Monet) und Ulrike Simon waren heute in Kaiseraugst im Agility unterwegs. Monet erlief zwei fehlerfreie Umläufe und kam im Open auf den ersten Rang.
|
|
24.08.2015 she did it again SS Coffee N Cream (Foto vom WT von Marlene Pfau) wurde Gestern ein weiteres Mal bester Dummy-Hund der LG-Westfalen. Wir freuen uns mit ihrem Führer Heinz Höfling. Der Sieg der Wandertrophäe gelang mit einer nahezu fehlerfreien Leistung beim 1. Workingtest der Landesgruppe in der Klasse Open, die das Team souverän gewann. Auch die anderen teilnehmenden Sporties, mit 5 von 11 startenden Hunden wie so oft überrepräsentiert, brauchten sich nicht zu verstecken. Insgesamt haben wir 4 Platzierungen eingeheimst. Neben Coffee in Open kamen SS Jarla Tunes (Jarla) und Heike Diron auf Platz 3. Es war ein schöner Tag mit netten Gastgebern und anspruchsvollen Aufgaben aus der Feder der LR Petra Dittmar unterstützt von Cordula Wojahn-Willascheck. Ein Dankeschön geht auch ans Orgateam rund um Heike Diron.
|
|
08.08.2015 da kommt Freude auf Wir freuen uns, dass SS Dallas Desperado (Foto von C. Cordes) bei der gestrigen DOK Augenuntersuchung weiterhin befundfrei war. Das freut uns unter anderem deswegen, weil wir spannende Pläne mit ihm haben. :-D Lara hat nun ihre eigene Seite und in der Galerie gibt es jetzt Laras Fotoalbum.
|
|
02.08.2015 Das V geschafft Am gestrigen Samstag war Franka Neufert mit ihrer Nike (SS Just Do It) wieder im Obediencering. Beim HSG Gößnitz richtete Manuela Babenschneider und Nike erarbeitete sich 226 Punkte, endlich das verdiente V, und kam auf Platz 2 in OI. Zweimal 5 sind auch ne Null Trotz einer echten Null im Apport über die Hürde und zweimal 5er Noten bei der Kreismeisterschaft Obedience KG Hamm in Bergkamen konnte Cinco sich auf Platz 3 der 13 Teilnehmer in OII schieben. Er bekam das beste "Gut" von der LR Kirstin Niedersteensche. Ich bin zufrieden mit der Leistung meines Buben nach der Spanientour. Stardust From Nova hat noch drei zuckersüße Welpen abzugeben. Rechts im Bild Balin. Die Zwerge werden am kommenden Mittwoch acht Wochen alt und sind dann im besten Alter, um zu ihren neuen Familien zu ziehen. Infos bei Andrea Ossenkemper HIER
|
|
31.07.2015 Kleeblatt komplett Wir heißen Lara (Vendetta des los Tres Robles- Foto links) ganz herzlich bei uns willkommen. Lara ist seit Dienstag bei uns und fügt sich perfekt ins Rudel ein. Die Strapazen der Spanientour mit insgesamt 3600 km habe ich schon vergessen und freue mich einfach, dass sie hier sein darf. Ein Dankeschön geht natürlich an ihre Züchterin Elena Stöhr, die mal wieder den richtigen Riecher hatte: dieser Hund passt 100%ig zu uns.
|
|
30.07.2015 Gratulation die Erste Heute haben die F-röschchen Geburtstag, sie werden 6 Jahre alt. Wir gratulieren, Laurin, Jamie, Pommes, Falk, Fire, Emma, Lotta und Flake ganz herzlich. Gratulation die Zweite Am vergangenen Samstag machte F-röschchen Emma (SS Feel Free- Foto) auf dem Agility Turnier der SV OG Hessisch Lichtenau mit einem fehlerfreien Lauf den Aufstieg in A2 klar. Auch am Sonntag lief sie in A2 fehlerfrei. Gerichtet hat Björn Bröker
|
|
19.07.2015 die üblichen Verdächtigen Vom gestrigen Samstag gibt es wieder Neuigkeiten von Franka Neufert und ihrer "Nike" SS Just Do It. Sie starteten in OI beim HSV Knauthain unter der LR Svea Balke mit LR-Anwärterin Evelyn Parthier. Am ganzen Prüfungstag gab es nicht ein einziges vorzügliches Ergebnis und so konnten Franka und Nike mit ihrem hohen SG 213 Punkte trotz Nullrunde in der Box einen zweiten Platz in OI einfahren und darüberhinaus gelangte ihr Team auf Platz 1 der Mannschaftswertung. Ein Video der Einzelübungen aus der Prüfung gibt es bei Youtube HIER. Wir gratulieren ganz herzlich! |
|
27.06.2015 Loriots Ausstellungsdebut in Leverkusen SS Light my Fire (Loriot-Foto) wurde von seiner Besitzerin Sarah Radas bei der SRA Leverkusen in der Jugendklasse gezeigt. Er erhielt das SG1 und zeigt nun mit stolz geschwellter Brust seine Medaille. Monet hüpft in der Schweiz Beim gestrigen Abendmeeting des Hundesport Allschwil sind SS Jam with Moses (Monet) und Ulrike Simon im Agility gestartet. Im schweizer Jumping A konnten sie mit einem Fehler einen dritten Rang ergattern.
|
|
22.06.2015 Nike bei der SGSV-Verbandsmeisterschaft Gestern startete Franka Neufert mit ihrer SS Just Do It -Nike bei der SGSV Obedience Meisterschaft in Klasse 1. Mit einer Null in der Box und ansonsten auf Meisterschafts-niveau gerichtet von LR Susi Tauer kam das Team auf 198 Punkte, SG und Platz vier. Die Meisterschaft fand statt beim HSV Meißen. Ein Video von Nike im Ring gibt es bei Youtube HIER
|
|
15.06.2015 und noch jemand mit Schleifchen Am gestrigen Sonntag startete SS Black Gwynniver mit Ines Fuchs beim OWL Cup in Hiddenhausen beim Agilityturnier.
|
|
14.06.2015 dem Zwingernamen alle Ehre gemacht In diesem Jahr feiere ich mein 20jähriges Jubiläum im Hundesport. Zu den ersten Agilityturnieren an denen ich damals mit Bonnie teilnahm brauchte ich eine Mitfahrgelegenheit, denn ich hatte noch nicht das passende Alter für den Führerschein ;-) B-Wurf Stardust from Nova am 10.06. hatte ich die Ehre bei der Geburt des aktuellen Cincowurfes zu assistieren. Der B-Wurf im Kennel Stardust from Nova besteht aus 6 Rüden und 2 Hündinnen in den Farben braun- und schwarz-weiß. Man freut sich dort noch über nette Anfragen. |
|
04.06.2015 99 von 100 Am vergangenen Samstag sind Sandra Kreibich und ihr SS Houdinis Lightning einmal mehr im Rally-Obedience gestartet. Bei den Hundefreunden Schulzendorf ging Houdini einen Punkt an der vollen Punktzahl der Klasse 2 vorbei, hat damit ein Vorzüglich und die Quali für die Klasse 3 sowie den 3.Platz in seiner Klasse. Foto rechts von G. Ebner. Untergegangen in PC-Problemen ist leider der Geburtstag der D-äumlinge am 27.05. Darum nachträglich alles Gute unserem D-Wurf, Dallas und Ivy! |
|
25.05.2015 Viel zu früh Immer noch fehlen mir so recht die Worte zu dem Geschehen am vergangenen Mittwoch. Undis Leidensgeschichte fing relativ harmlos an mit Bauchkrämpfen und Erbrechen. Am Mittwoch wollten wir kastrieren, denn die Tierärztin tippte auf Gebärmutterentzündung. Leider war es das nicht. Bei der OP fand sich ein aufgebrochener Milztumor der auch schon Metastasen gebildet hatte im gesamten Bauchraum. Auch die Bauchspeicheldrüse war bereits betroffen. Da nichts mehr zu machen war liessen wir Undis weiterschlafen. Mein Seelenhund fehlt hier jede Minute und es ist einfach so ungerecht, dass sie so früh gehen mußte. Was mich in all meiner Trauer fröhlich stimmt ist, dass sie ihre letzten Wochen mit der Aufzucht von Fames M-Wurf noch richtig genossen hat. |
|
08.05.2015 Bunte Erfolgsmischung Vom vergangenen Wochenende gibt es wieder einiges Gutes zu berichten: SS Just Do it (Nike) und Franka Neufert starteten in Obedience Klasse 1 unter LR Svea Balke und erhielten ein hohes SG mit 215,5 Punkten und den dritten Platz!
SS Goldflame (Lovis) legte mit Ursula Milke-Behmer erfolgreich die Begleithundprüfung (BH/VT) beim HSV Lippetal unter LR Hr Heising ab. SS Elegida (Mocca) wurde von ihrer Besitzerin Anne Kildahl-Rasmussen bei den Ausstellungen in Dortmund gezeigt und erhielt sowohl am Freitag als auch am Sonntag in der Gebrauchshundeklasse das V1 mit VDH CAC und erfüllt nun alle Bedingungen zum Tragen des Titels: Dt Ch VDH. |
|
08.05.2015 Keine Hexerei: Hocus Pocus besteht BH/VT Bereits am 03.05. bestand Emil (SS Hocus Pocus-Foto) mit seiner Besitzerin Birgit Wiszinski die Begleithundeprüfung beim DVG Schöningen. Herzlichen Glückwunsch! |
|
03.05.2015 Party On! ...und schon ist es wieder vorbei, das Sporty Springers & Friends Festival 2015. Einige Impressionen von unserem schönen Tag gibt es von Heinz Höfling HIER
|
|
![]() |
01.05.2015 weitere Agilitynews Sandra Kreibich und Sporty Springers Houdinis Lightning starteten am 26.04. beim Schönfließer HSC im Agility. Mama Sporty Springers Crazy Blizz war auch mit von der Partie. Houdini platzierte sich im A-Lauf mit zwei Fehlern auf Rang 3 und Crazy erreichte im A-Lauf mit einem Fehler Platz 1 sowie im fehlerfreien Jumping Open Platz 2. Happy Birthday H-üpfer Unsere Arbeiterkinder aus dem H-Wurf haben heute Geburtstag. Wir grüßen Feldmann, Henry, Renfield, Houdini, Fivel, Emil, Birk und Fame ganz herzlich und wünschen ein weiteres schönes Lebensjahr. |
|
21.04.2015 Houdini platziert Sporty Springers Houdinis Lightning und Sandra Kreibich hatten einen sehr gelungenen Agilitysaisonstart. Am 19.04. starteten sie in A1 beim HSC Happy Teams. Trotz eines Stangenfehlers erreichten sie Platz 2 unter der LR Angelika Robaczek.
|
|
13.04.2015 Miles´Obedience-Debut Sporty Springers Kickstart (Miles-Foto) und Monika Morlak hatten gestern ihr Obedience-Debut bei den Kölcshen Hundefreunden unter der Richterin Susi Tauer. Die rote Schleife zeigt es, die beiden holten sich 224,5 Punkte- Vorzüglich und die dreifarbige Schleife ist für den Klassensieg in der Beginnerklasse. Toll gemacht ihr Beiden!
|
|
11.04.2015 Happy Birthday A-Wurf! Heute wir unser allererster Wurf 12 Jahre alt. Bleibt weiterhin fit und gesund alle miteinander. Alles Gute fürs nächste Lebensjahr an Anubis, Banjo, Easy, Amy, Hope und unsere eigene Joy (Foto). |
|
02.04.2015 Erste! ...aus dem L-Wurf mit ausgewertetem HD Ergebnis ist Bell(e). Da sie in der Schweiz wohnt hat nach dem dortigen Auswertungsschema die Hüfte einen B/B - Wert. Damit sind wir fürs Erste zufrieden, warten jetzt aber gespannt auf die Geschwister. Frohe Ostern allen Lesern! |
|
22.03.2015 und los gehts... mit besten Neuigkeiten aus verschiedenen Hundesportbereichen: Dummyprüfung: Bei der gestrigen Dummyprüfung der LG Nordmark gingen Jochen Haselhoff und SS In Sunset (Frida) an den Start der Novice Klasse. Sie erreichten 86 Punkte und einen schönen dritten Platz im Starterfeld von 9 Hunden. Obedienceprüfung Klasse OIII: Ebenfalls gestern startete Birgit Funk mit ihren Jungs (Foto) in Ratingen unter LR S Richarz. Capper (SS Jester´s Cap) erarbeitete sich 265 Punkte V und Platz 1, Laurin (SS Fireworx by Laurin) bekam 233 Punkte SG und Platz 2. Begleithundeprüfung: Heute debütierte SS Kickstart (Miles) mit Monika Morlak bei der Begleithundeprüfung und bestand bei den Kölschen Hundefreunden.
|
|
17.03.2015 Bloß nicht zu spät kommen... ...zur eigenen Geburtstagsparty. Heute werden die L-ittles ein ganzes Jahr alt. Wie schnell die Zeit vergeht. Alles Gute zum Geburtstag an Bell, Myla, Vinci (Foto) , Loriot und Little George. Bei Letzterem wird um jedes kg Körpergewicht gekämpft, mit gut durchdachtem Futtermanagement jedoch weiterhin ohne Medikamente. Er ist genau wie die anderen ein fröhlicher, aufgeschlossener Hund geworden.
|
|
15.03.2015 Eine bunte Tüte, bitte Unsere M-äuse wurden in der Nacht vom 14. auf den 15. geboren. Es sind eine Hündin (schwarz-weiß) und fünf Rüden in schwarz-weiß, braun-weiß und schwarz-weiß mit Loh. Fame macht ihren Job wieder hervorragend und jetzt ist Ruhe in der Wurfkiste. Wir sind müde aber glücklich. Happy Birthday J-ust Do It´s Heute vor drei Jahren wurde unser J-Wurf geboren. Alles Gute zum Geburtstag an Karo, Juicy, Capper, Nike, Monet und Jarla. |
|
03.03.2015 Die Freude überwiegt Sporty Springers Coffee ´n Cream war gestern erneut zur Augenuntersuchung und ist im Alter von 7,5 Jahren weiter PRA und Katarakt frei. Bei der ebenfalls durchgefürten Gonioskopie fand sich EINE Gewebebrücke die dazu führt, dass der Befund eben "nicht frei" lautet, aber niemals dem Hund Probleme bereiten wird, und das ist die Hauptsache.
|
|
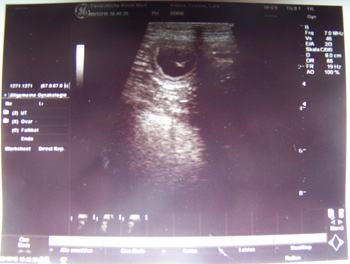
10.02.2015 Immer wieder schön Auch wenn man sich so sicher ist wie ich es war, ist doch der Trächtigkeitsultraschall immer wieder eine wunderschöne Angelegenheit. Hier nun weiß auf schwarz: Fame erwartet kleine Seepferdchen mit kräftig schlagenden Herzchen im März.
|
|
02.02.2015 SRA Castrop Rauxel Sporty Springers Kickstart (Miles) und seine Besitzerin Monika Morlak machten sich gestern auf den Weg das letzte nötige Jugend CAC zu sammeln für den Klub Jugend Champion Titel. Genau dies gelang unter der Richterin Frau Grigorova aus Bulgarien. Der Richterbericht liest sich auch sehr schön: 16 Monate alter schwarz/weißer Rüde. Sehr fit und elegant. Typischer Kopf mit schönem Stop, korrekte, tief angesetzte Ohren von guter Länge.
Korrekte Körperlänge und Knochenstärke. Sehr gut bemuskelt. Sehr gute Haarqualität, sehr attraktiv.
Bewegt sich rassetypisch, mit gutem Schub. Korrekt getragene Rute.
|
|
07.01.2015 News-Flut Das neue Jahr ist gerade eine Woche alt und hier stapeln sich die guten Neuigkeiten: Die Hüfte von Sporty Springers Kite Flight (Kayo) ist in der Schweiz ausgewertet mit A/B, damit sind alle bisher geröngten (das sind immerhin 18 Hunde) Cincokinder im Bereich A oder B, kein einziges C oder schlechter dabei. Die DOK Augenuntersuchung von Cinco und Fame war gestern auch erneut befundfrei- wir freuen uns! |
|
03.01.2015 Der Cinco hat Geburtstag Mein Rüdi hat heute seinen 5ten Geburtstag. Er ist weiterhin mein großer Schatz. Er macht sich mit seiner liebenswerten Art Freunde wo immer er auftaucht und hat mich im vergangenen Jahr mit seinen Obedienceerfolgen sehr glücklich gemacht. Nun ist er schon 5, die Zeit rast, es kommt mir vor als wäre er gestern erst aus Spanien hier angekommen. Unterschlagenes HD Ergebnis Apropos älter werden: Bereits an Heiligabend kam die Nachricht, dass auch Kayden eine A-Hüfte hat, genauer gesagt eine A2. Bis jetzt ist die K-Wurf Statistik blütenrein! |
|
01.01.2015 Frohes Neues Jahr Wir wünschen allen ein glückliches und gesundes Jahr 2015. Mögen gute Vorsätze umgesetzt werden, Ziele erreicht und alles gelingen mit einem Lächeln. |
|








